

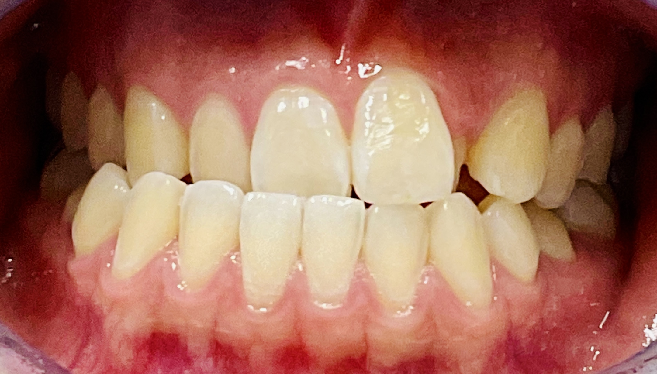
Before
After
We replaced this patients front teeth which had discolored teeth and cavities with white composite fillings. We did a restorative treatment which allowed her to smile with confidence.
.webp)

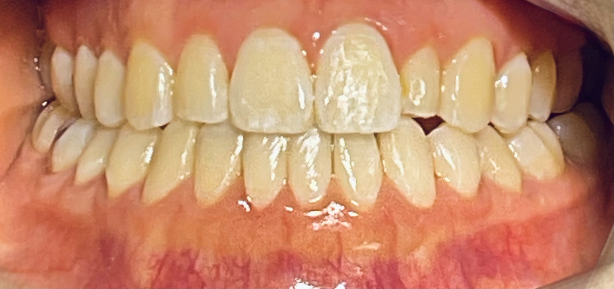
Before
After
We replaced this patients front teeth which had discolored teeth and cavities with white composite fillings. We did a restorative treatment which allowed her to smile with confidence.


Before
After
Patient chipped her front tooth composite veneer. We repaired the composite veneer in office as though it was never broken.


Before
After